
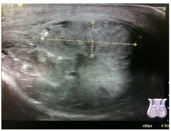
CASE REPORTDOI: 10.2174/1874303X01710010059
All articles published in Open Urology and Neprology Journal are now available worldwide under an open-access license. No specific permission is required to reuse all or part of the Open Urology and Neprology Journal article, including figures and tables. Any part of an article published under a Creative Commons CC BY license may be copied without permission as long as the original material is clearly referenced.
https://openurologyandnephrologyjournal.com/open-access-policy.php.
Volume: 10 (2017): 59.
[Electronic Publication Date: December 29, 2017]Azhar A. Hamzah, Faris Mohamad, Tauqeer H. Mallhi, Mohamad N.G. Rahman, Yusra H. Khan, Amer H. Khan, Azreen S. Adnan and Omaid H. Khan





