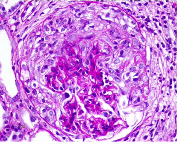
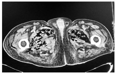
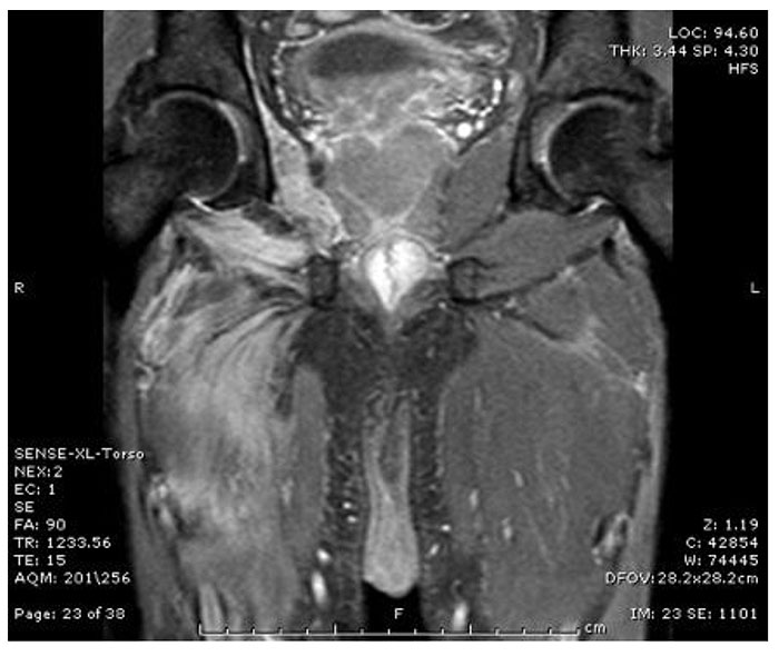
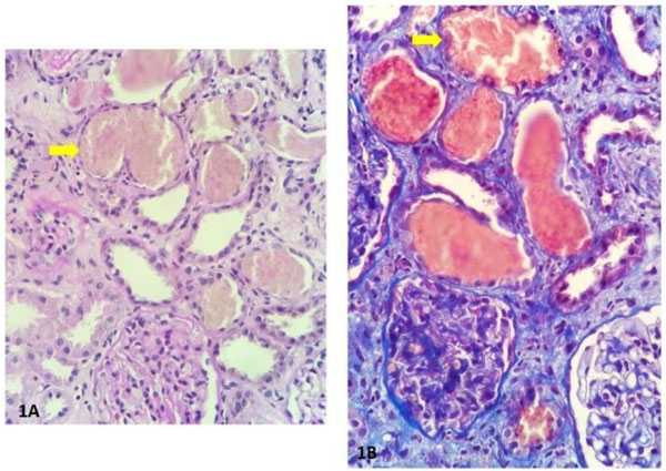
Everyday Cases in Nephrology
Edited by: Arvind Conjeevaram & Anupama Janardhana
July 31, 2019
Anjana KS, Raghunath CN and Arvind C
Everyday Cases in Nephrology
Edited by: Arvind Conjeevaram & Anupama Janardhana
July 31, 2019
Anjana KS, Raghunath CN and Arvind C