RESEARCH ARTICLEDOI: 10.2174/011874303X397190251105122718
All articles published in Open Urology and Neprology Journal are now available worldwide under an open-access license. No specific permission is required to reuse all or part of the Open Urology and Neprology Journal article, including figures and tables. Any part of an article published under a Creative Commons CC BY license may be copied without permission as long as the original material is clearly referenced.
https://openurologyandnephrologyjournal.com/open-access-policy.php.
Volume: 18 (2025): e1874303X397190
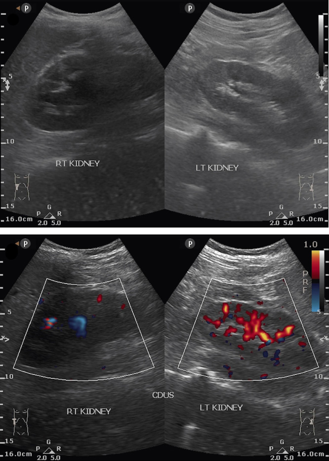
[Electronic Publication Date: November 12, 2025]Rommel P. Bataclan, Ricardo Francisco, Juliet Chua Chong-Noel, Arlene I. Afaga, Agnes T. Cruz, Jan Melvin Zapanta, Aileen D. Merioles, Jan Roslyn T. Empinado, Charmaine Que, Karen Cabigas, Arnel Chua, Brian Michael I. Cabral, Anthony Russell Villanueva, Bevy Lynn Leano, Mel-hatra Arakama, Maria Rachelle Uy, Maritess Lopez, Mizzenlei Soriano, Joel John Mejos, Vonn Velasco, Rachelle Manalaysay, Jennifer Ivy T. Leano, Marissa Elizabeth L. Lim, Carlsberg Howard Tsang, Rica Nell Mendoza, Ana Patricia Abellana, Arra Marie Rojales, Minerva G. Nicolas and Vera Joy Bajarias



